www.gomeopat.sp.ru
           

 

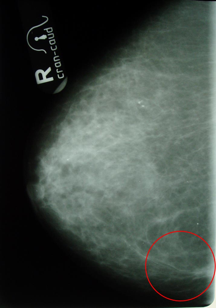
Маммограмма в динамике.
Больная раком правой молочной железы T4аN0M0. Регресс.

Алефиров А.Н. Опыт лечения травами рака молочной железы у женщин в постменопаузе// Материалы Симпозиума "Фитотерапия в онкологии",
21 сентября 2007 г., Санкт-Петербург

Чтобы увеличить изображение, щелкните на снимке.

06.06.2005 (на момент выявления болезни)
12.09.2005 (после лучевой терапии)
14.03.2006 (после 6 месяцев траволечения)
11.04.2007 (полтора года лечения и наблюдения)
     

© Алефиров А.Н., 2007


Рейтинг Nedug.Ru - клиники Москвы, клиники 
            Петербурга